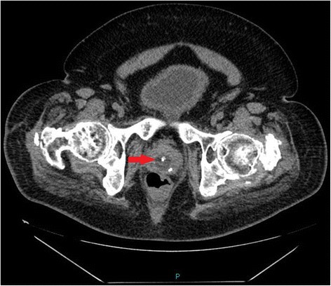
Figure 2From: Missed signs of autonomic dysreflexia in a tetraplegic patient after incorrect placement of urethral Foley catheter: a case reportAxial scan of CT of pelvis performed ten days later: Neither the catheter nor balloon of Foley catheter can be seen inside the urinary bladder. The balloon of Foley catheter (arrow) is located in dilated prostate-membranous urethra.Back to article page